EBY100 Yeast Strains, 100 µL
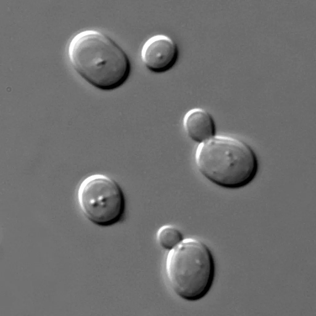
The EBY100 Yeast Strain is a high-quality Saccharomyces cerevisiae strain widely used for protein expression, molecular biology, and yeast surface display studies. Supplied in a 100 µL vial, this strain is ready for research applications in genetics, biotechnology, and functional assays.

Internal Reference:
0820-S0117